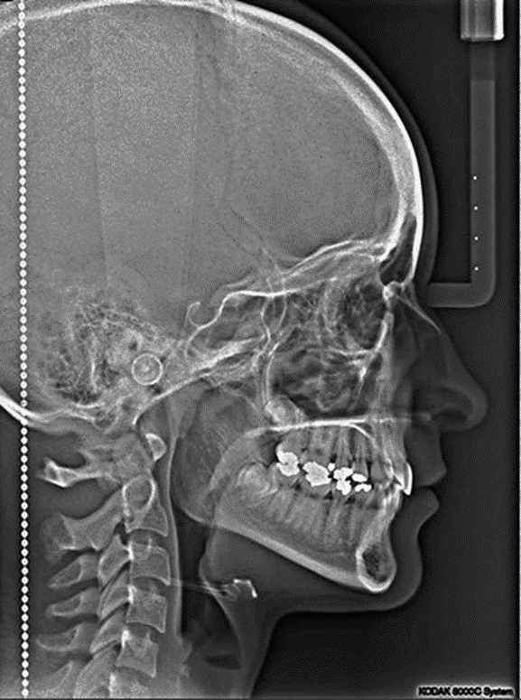
Radiografía Lateral de Cráneo
Muestra los huesos de la cara y el cráneo junto con el perfil
de tejidos blandos de la cara proporcionara información muy general de la cara,
cráneo y columna cervical.
1.- Sutura Lambdoidea
2.- Pterion
3.- Bregma
4.- Conducto auditivo
5.- Lamina Basilar
6.- Apófisis clinoides posterior
7.- Apófisis clinoidea anterior
8.- Silla Turca
9.- Atlas
10.- Axis
11.- Mandíbula o maxilar inferior
12.- Seno esfenoidal
13.- Seno frontal
14.- Seno Maxilar
15.- Protuberancia occipital int.
Usos en especialidades:
*Los ortodontistas ocupan esta
técnica para evaluar el crecimiento facial
Colocación de la película:
- Javier F. Fotografía intraoral y extraoral. Fotografia digita. Rev Esp Ortod 2006. Pag 49-60



Comentarios
Publicar un comentario